症例集
Clinic Blog
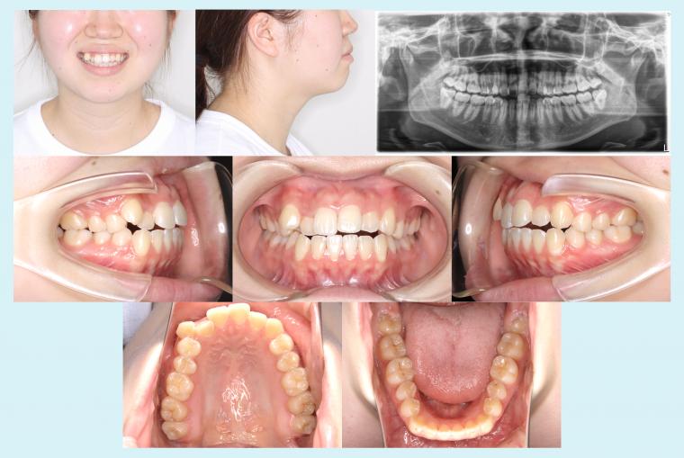
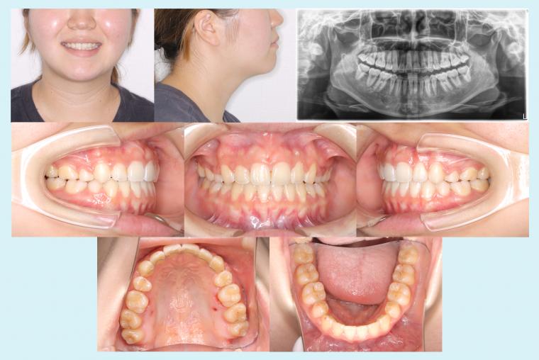
♯48 八重歯を治療した症例



・機能性や審美性を重視するため自費(保険適用外)での診療となり、保険診療よりも高額になります。
・最初は矯正装置による不快感、痛みなどがあります。数日から1~2週間で慣れることが多いです。
・治療期間は症例により異なりますが、成人矯正や永久歯がすべて生え揃っている場合は、一般的に1年半~3年を要します。小児矯正においては、混合歯列期(乳歯と永久歯が混在する時期)に行なう第1期治療で1~2年、永久歯がすべて生え揃った後に行なう第2期治療で1~2年半を要することがあります。
・歯の動き方には個人差があるため、治療期間が予想より長期化することがあります。
・装置や顎間ゴムの扱い方、定期的な通院など、矯正治療では患者さまのご協力がたいへん重要であり、それらが治療結果や治療期間に影響します。
・治療中は、装置がついているため歯が磨きにくくなります。虫歯や歯周病のリスクが高まるので、丁寧な歯磨きや定期メンテナンスの受診が大切です。また、歯が動くことで見えなかった虫歯が見えるようになることもあります。
・歯を動かすことにより歯根が吸収され、短くなることがあります。また、歯肉が痩せて下がることがあります。
・ごくまれに、歯が骨と癒着していて歯が動かないことがあります。
・ごくまれに、歯を動かすことで神経に障害を与え、神経が壊死することがあります。
・治療中に金属などのアレルギー症状が出ることがあります。
・治療中に、「顎関節で音が鳴る、顎が痛い、口をあけにくい」などの顎関節症状が出ることがあります。
・問題が生じた場合、当初の治療計画を変更することがあります。
・歯の形状の修正や、噛み合わせの微調整を行なうことがあります。
・矯正装置を誤飲する可能性があります。
・装置を外すときに、エナメル質に微小な亀裂が入る可能性や、補綴物(被せ物など)の一部が破損することがあります。
・装置を外した後、保定装置を指示どおりに使用しないと後戻りが生じる可能性が高くなります。
・装置を外した後、現在の噛み合わせに合わせて補綴物(被せ物など)の作製や虫歯治療などをやり直す可能性があります。
・顎の成長発育により、噛み合わせや歯並びが変化する可能性があります。
・治療後に親知らずが生えて、歯列に凹凸が生じる可能性があります。
・加齢や歯周病などにより歯を支える骨が痩せると、歯並びや噛み合わせが変化することがあります。その場合、再治療が必要になることがあります。
・矯正治療は、一度始めると元の状態に戻すことが難しくなります。
・機能性や審美性を重視するため自費(保険適用外)での診療となり、保険診療よりも高額になります。
・装置に慣れるまで発音しづらいなどの症状が出ることがあります。
・矯正装置を装着している期間は、適切に歯磨きができていないと、虫歯や歯周病にかかりやすくなります。歯磨き指導をしますので、毎日きちんと歯を磨き、口腔内を清潔に保つようご協力をお願いします。
・歯磨き、エラスティック(顎間ゴム)の使用、装置の取り扱い、通院などを適切に行なっていただけない場合、治療の期間や結果が予定どおりにならないことがあります。
・成長期の患者さまの治療では、顎骨の成長を予測し、現段階において適切な治療を行ないますが、まれに予期できない顎の成長や変化によって治療法や治療期間が大きく変わることがあります。また、顎の変形が著しい場合には、矯正治療に外科的処置を併用することがあります。
・歯を移動させることにより、まれに歯根の先端がすり減って短くなる「歯根吸収」を起こすことがあります。しかし、適切な矯正力で歯を移動させることでセメント質(歯根表面を覆っている組織)が修復されるため、歯根吸収のリスクを軽減できます。
・歯の周囲の組織は、治療前の状態に戻ろうと「後戻り」する性質があるため、治療後も数ヵ月から1年に1回ほどの頻度で通院いただいて歯の状態を管理し、後戻りを防ぐ必要があります。
・機能性や審美性を重視するため自費(保険適用外)での診療となり、保険診療よりも高額になります。
・正しい装着方法で1日20時間以上使用しないと、目標とする治療結果を得られないことがあるため、きちんとした自己管理が必要になります。
・ご自身で取り外せるため、紛失することがあります。
・症状によっては、マウスピース型矯正装置で治療できないことがあります。
・お口の中の状態によっては、治療計画どおりの結果が得られないことがあります。
・装着したまま糖分の入った飲料をとると、虫歯を発症しやすくなります。
・治療によって、まれに歯根吸収や歯肉退縮が起こることがあります。
・食いしばりの癖が強い方の場合、奥歯が噛まなくなることがあります。
・治療途中で、ワイヤーを使う治療への変更が必要になることがあります。
・お口の状態によっては、マウスピース型矯正装置に加え、補助矯正装置が必要になることがあります。
・治療完了後は後戻りを防ぐため、保定装置の装着が必要になります。
・薬機法(医薬品医療機器等法)においてまだ承認されていない医療機器です。日本では完成物薬機法対象外の装置であり、医薬品副作用被害救済措置の対象外となることがあります。
当院でご提供しているマウスピース型矯正装置「インビザライン」は、薬機法(医薬品医療機器等法)においてまだ承認されていない医療機器となりますが、当院ではその有効性を認め、導入しています。
○未承認医療機器に該当
薬機法上の承認を得ていません(独立行政法人 医薬品医療機器総合機構ウェブサイトにて2022年7月1日最終確認)。
○入手経路等
インビザライン・ジャパン株式会社より入手しています。
○国内の承認医療機器等の有無
国内では、インビザラインと同様の性能を有した承認医療機器は存在しない可能性があります(独立行政法人 医薬品医療機器総合機構ウェブサイトにて2022年7月1日最終確認)。
○諸外国における安全性等にかかわる情報
現在世界100カ国以上で提供され、これまでに1,300万人を超える患者さまが治療を受けられています(2022年6月時点)。情報が不足しているため、ここではインビザラインの諸外国における安全性等にかかわる情報は明示できません。今後重大なリスク・副作用が報告される可能性があります。
なお、日本では完成物薬機法対象外の矯正装置であり、医薬品副作用被害救済制度の対象外となる場合があります。
※当該未承認医薬品・医療機器を用いた治療の広告に対する注意事項の情報の正確性について、本ウェブサイトの関係者は一切責任を負いません。
・患者さまの骨の状態や口腔衛生状態によっては脱落することがあります。
・脱落した場合は再埋入を行なうことがあります。脱落部分の骨の穴が回復するまで数ヵ月の時間を要するため、別の部分に埋め込むことがあります。
・歯科矯正用アンカースクリューは骨に埋まっていますが、その頭部は歯肉の外にあるため、ケアを怠ると骨に感染することがあります。
・歯科矯正用アンカースクリューは歯根の間に埋入されることが多いため、埋入時に歯根を傷つけることがあります。