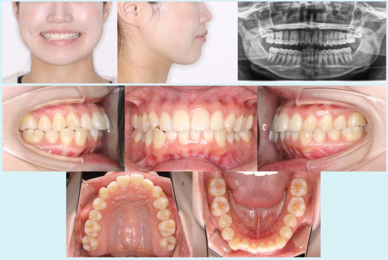
2025.09.28 #45 軽度叢生を治療した症例 「下の歯のデコボコ」が気になると来院された患者さんです。右下の犬歯が歯列の外側に出ていて、部分的に反対咬合になっている咬み合わせでした。上の歯並びは左右の犬歯が斜めになっている状態でしたが、ご本人は気... 症例集(マウスピース矯正)
2024.07.17 #29 金属アレルギーのためマウスピースを使用した症例 治療前治療中治療後「歯ならびが気になる」と来院された患者さんです。右の前歯が一部、反対咬合になっている咬み合わせで、金属アレルギーがあるとのことでした。治療前に皮膚科を受診していただき、パッチテストか... 症例集(マウスピース矯正)
2024.05.22 #26 10か月ですきっ歯を治療した症例 治療前治療中治療後「前歯が出ている。前歯の間が開いているのを治したい。」とのことで来院された患者さんです。診断を行った際にはまだ骨格の成長があると考えられたため、治療開始までに6か月待っていただいてか... 症例集(マウスピース矯正)
2023.12.05 #15 マウスピースで咬み合わせを治療した症例 受け口を気にされて、来院された患者さんです。右の前歯が反対咬合になっている咬み合わせでした。上下の骨格のバランスはほとんど問題無かったため、外科的手術を併用しない方針となりました。最初に右側の親知らず... 症例集(マウスピース矯正)