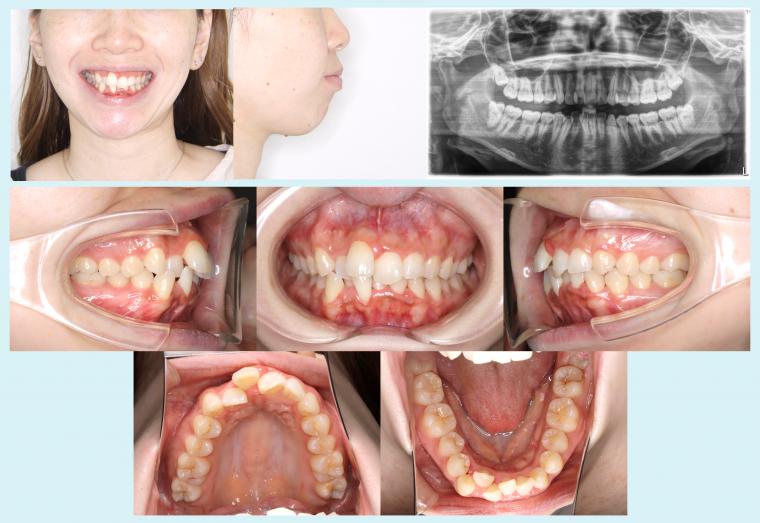
2026.03.31 #51 矯正用インプラントアンカーを用いてオートローテーションを図った症例 歯ならび、出っ歯が気になるとのことで来院された患者様です。治療前は、上下とも歯並びがデコボコして、横顔は口元がやや突出している様子でした。レントゲンの分析では、上下とも前歯が唇側に傾斜している状態でし... 症例集(表側矯正)